テトラサイクリン歯とは?原因と治療法|ホワイトニングで白くできる?
歯の色がグレーや茶色っぽく見える、縞模様のような色ムラがあるなど、歯の変色が気になる方はいませんか。
その原因のひとつとして知られているのがテトラサイクリン歯です。
見た目の問題でお悩みの方も多く、「ホワイトニングで白くできるの?」と疑問に思われることも少なくありません。
今回は、テトラサイクリン歯の原因や特徴、治療方法についてわかりやすくご紹介します。
テトラサイクリン歯とは?

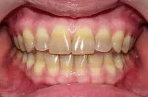
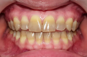
テトラサイクリン歯とは、歯の内部が変色してしまう症状のことを指します。
一般的な着色汚れ(ステイン)は歯の表面に付着しますが、テトラサイクリン歯の場合は歯の内側から色が変わっている状態です。そのため、歯みがきでは落とすことができません。
見た目の特徴としては、次のようなものがあります。
・グレーや茶色の変色
・歯に横縞のような模様が見える
・歯全体が暗く見える
変色の程度には個人差があり、軽度のものから濃い色のものまでさまざまです。
テトラサイクリン歯の原因
テトラサイクリン歯の原因は、テトラサイクリン系抗生物質という薬です。
この薬は以前、感染症などの治療で広く使われていました。
しかし、歯が作られる時期(胎児期〜8歳頃)にこの薬を服用すると、歯の成分と結びついて歯の内部に色素が沈着することがあります。
その結果、永久歯が生えたときにグレーや茶色の変色として現れることがあります。
現在では、子どもへの使用は基本的に避けられているため、新しく発生するケースは少なくなっています。
テトラサイクリン歯はホワイトニングで白くできる?

「ホワイトニングで白くできますか?」というご相談は多くあります。
結論から言うと、テトラサイクリン歯でもホワイトニングで改善できる場合があります。
ただし、一般的な歯の黄ばみに比べて白くなるまでに時間がかかることが多いといわれています。
ホワイトニングの効果は、変色の程度によって異なります。
軽度の場合
比較的ホワイトニングの効果が出やすいケースです。
中程度の場合
回数を重ねることで、ある程度トーンアップが期待できます。
重度の場合
ホワイトニングだけでは十分な改善が難しいこともあります。
その場合は、別の治療法を検討することがあります。
テトラサイクリン歯の主な治療方法
テトラサイクリン歯の治療には、いくつかの方法があります。
ホワイトニング
歯を削らずに色を明るくする方法です。
自然な仕上がりを希望される方に選ばれることが多い治療法です。
ただし、効果には個人差があるため、歯科医院で相談することが大切です。
テトラサイクリン歯は通常の着色とは異なるため、ホワイトニングの方法や回数が重要になります。
当院のテトラサイクリン治療について詳しくはこちらをご覧ください。
→テトラサイクリン治療について
ラミネートベニア
歯の表面を薄く削り、セラミックの薄いシェルを貼り付ける方法です。
色や形を整えることができ、審美性の高い治療として知られています。
セラミッククラウン
歯全体をセラミックの被せ物で覆う方法です。
変色が強い場合でも、きれいな白い歯に改善できる可能性があります。
当院の審美治療について詳しくはこちらをご覧ください。
→審美治療について
まずは歯科医院で相談を

歯の変色の原因は、テトラサイクリン歯だけではありません。
・加齢による変色
・着色汚れ(ステイン)
・神経のない歯の変色
など、さまざまな原因が考えられます。
そのため、まずは歯科医院で原因を確認することが大切です。
原因に合わせて、最適な治療方法を提案してもらうことができます。
まとめ
テトラサイクリン歯は、歯の成長期にテトラサイクリン系抗生物質を服用することで起こる歯の変色です。
歯の内部から色が変わっているため、歯みがきでは改善できませんが、
・ホワイトニング
・ラミネートベニア
・セラミック治療
など、見た目を改善するための治療方法はいくつかあります。
歯の色が気になる場合は、原因を確認するためにも一度歯科医院で相談してみましょう。
患者さまの状態に合わせた治療方法を一緒に考えていくことが大切です。
















