インプラント

インプラントは、残念ながら歯を失ってしまった方のための第二の永久歯とも呼べる歯科治療です。
セレック

歯型を取ることなくコンピューターを使って修復物の作成が可能です。
ブラックトライアングル治療

ブラックトライアングルとは黒く見える三角形の歯と歯の間に隙間です。
当院では ダイレクトボンディング法で、できてしまった三角形の隙間をきれいに埋めて修繕することが可能です。
すきっ歯の治療(部分矯正)

すきっ歯の隙間をダイレクトボンディングで埋めることができます。 矯正治療やセラミック治療と比べて治療期間が圧倒的に短く(最短1日)、費用も抑えられます。
審美治療

歯科矯正・ホワイトニング・補綴など、健康的な笑顔のためのメニューを用意しています。
歯周病

歯科衛生士によるクリーニングからクリニックではなかなか実現の難しい外科手術まで行っています。
精密根管治療

一時的に痛みや腫れを取り除いても、根本的な解決にはなりません。当院では高性能マイクロスコープの導入により、よくなっていることを実感できる精密根管治療を行っています。
予防治療

生まれついての天然の歯と長く付き合うために、現代は予防のために歯科医院に通う時代です。
ホワイトニング

通いやすいクリニックで、お好みの白さをお選びいただけます。
顎関節症

精密な診断から重症化した際の手術まで、幅広い顎関節症の臨床経験を持っています。
親知らずの抜歯

徹底した衛生管理により、安心して抜歯の相談をしていただけます。
虫歯治療

早期発見により痛みの少ない虫歯治療を行っています。
すきっ歯の治療(部分矯正)

すきっ歯の隙間をダイレクトボンディングで埋めることができます。人目につきやすい前歯でも、治療をしたことがほとんど分からないほど自然に仕上がります。
ブラックトライアングル治療

矯正治療などで出来てしまったブラックトライアングルはダイレクトボンディングを活用して、目立たなく綺麗な歯並びに仕上げることが出来ます
ボトックス注射(ボツリヌストキシン治療)

歯科でボトックスを使用する一番のメリットは、噛む力をコントロールすることができるため、さまざまな治療に生かせるということです。また 表情筋もコントロールできるので笑う時に歯茎が見えて気になるといった「ガミースマイル」にも有効です。
ガミースマイル

笑うと歯茎が見えて気になってしまい、つい口元を隠してしまうことはありませんか? 笑顔に自信が持てない等お悩みの方におすすめです。
テトラサイクリン歯

灰色がかった歯や縞模様のある歯が気になる方、歯を白くしたい方へ。テトラサイクリン歯を改善できるメニューをご用意しています。
歯のマニキュア

ホワイトニングでは、白くなりにくい歯、神経のない歯、テトラサイクリン歯、人工の歯でも白くすることができる審美治療です。
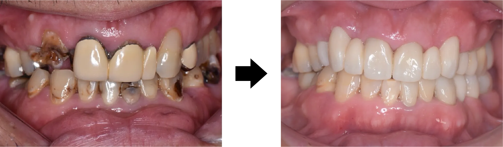
ボロボロの歯の治療(重度のむし歯・歯周病)

噛めない・見た目が気になる歯も、治療でしっかり回復できます。インプラントや歯周病治療で、健康で自然な口元を取り戻しましょう。
前歯のセラミック治療のやり直し

古くなったセラミックの色・形・噛み合わせを最新素材で美しく。自然で清潔感のある笑顔に生まれ変わります。
歯を削らない接着ブリッジ

今までのブリッジのように両隣の歯を大きく削る必要がない、できるだけ天然の歯を守りながら自然な見た目で治すことのできる審美治療です。
成人矯正(インビザラインGo)

透明で薄いため目立ちにくく、装着中も自然な見た目のマウスピース矯正治療です。インビザライン Go矯正は奥の歯を除く計20本を対象とした矯正装置で、最短5カ月での矯正が可能です






